동대문 청량리 수면치과 | 임플란트 재수술 + 어금니 전체 임플란트, 수면으로 한 번에

동대문 청량리 수면치과 | 임플란트 재수술 + 어금니 전체 임플란트, 수면으로 한 번에
동대문 청량리 수면치과 | 임플란트 재수술 + 어금니 전체 임플란트, 수면으로 한 번에

#동대문수면치과 #청량리수면치과 #수면임플란트 #임플란트재수술 #상악동골이식

안녕하십니까, 동대문 청량리 수면치과 더굿모닝치과입니다.

오늘은 치과 공포증이 있으신 분들께서 특히 많이 검색하시는 수면임플란트와 함께, 임플란트 재수술 및 어금니 전체 임플란트 증례를 소개해 드리려 합니다.

치과가 두렵고 불안하셔서 치료 시기를 놓치셨거나, 이전에 식립한 임플란트에 문제가 생겨 재수술을 고민 중이신 분이라면 이 글이 도움이 되실 거예요.

1. 내원 배경 — 치과 공포증으로 치료를 미루셨던 분

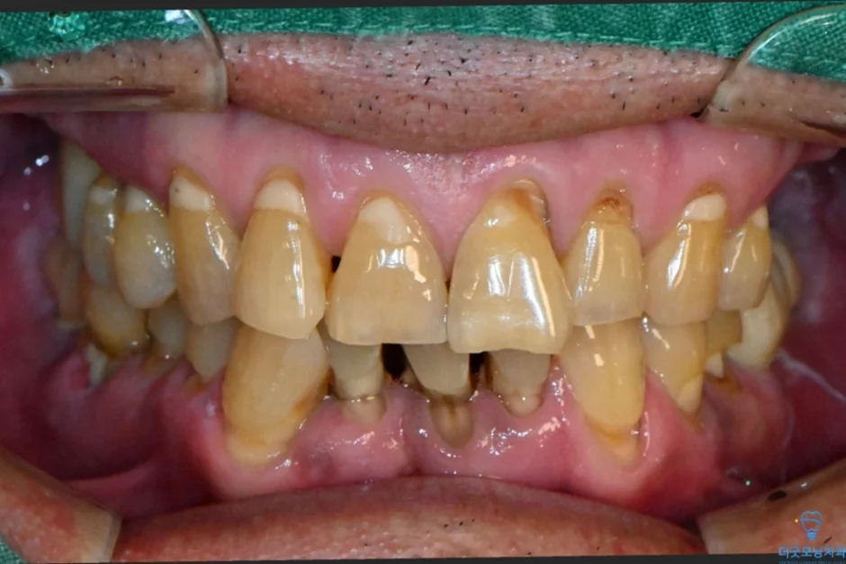
해당 환자분은 과거 치과 치료 경험이 좋지 않아 치과 공포증이 있으셨고, 치료 자체에 대한 두려움이 크셨습니다. 치료를 오랫동안 미루셨고, 그 사이 구강 상태가 많이 악화된 상태로 내원하셨습니다.

또한 개인 사정으로 인해 치료를 나눠서 받기를 희망하셔서, 이 부분도 함께 고려하여 치료 계획을 세웠습니다.

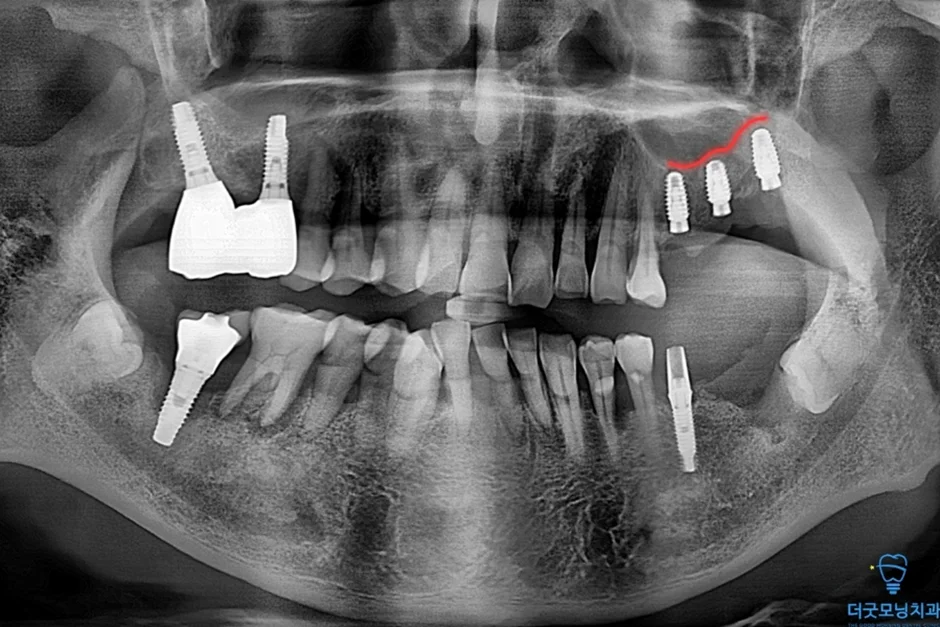
2. 검진 결과 — 파노라마 엑스레이 & CT 분석

먼저 파노라마 엑스레이와 CT를 통해 구강 전체 상태를 확인하였습니다.

■ 왼쪽 위 (상악 좌측)

상악동이 많이 함기화되어 있어 상악동 골이식(치조정 접근 상악동 거상술)이 반드시 필요한 상태였습니다. CT 확인 결과 가용골이 매우 부족한 것이 명확히 확인되었습니다.

■ 오른쪽 위 (상악 우측)

치주염으로 인해 치아가 흔들리는 상태였으며, 발치 후 즉시 임플란트 식립을 계획하였습니다.

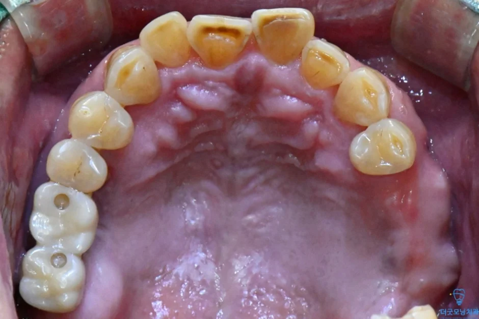
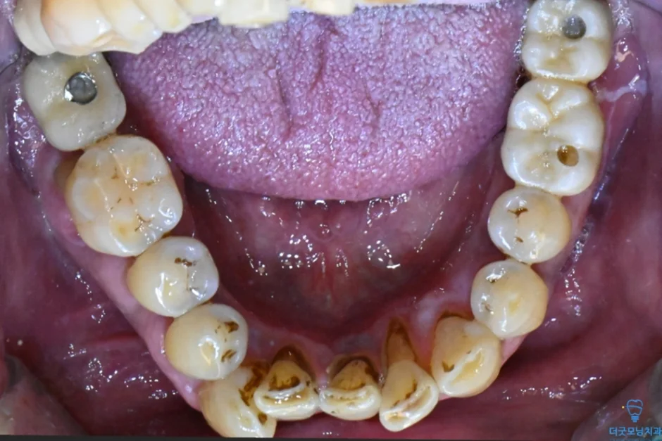
■ 아래 양쪽 (하악 좌·우측)

임플란트 주위염이 발생하여 기존 임플란트를 제거하고 재수술이 필요한 상태였습니다. CT 상 신경관까지 어느 정도 거리가 확보되어 재수술은 무리 없이 진행 가능하였습니다.

3. 치료 계획 수립

검진 결과를 바탕으로 아래와 같이 치료 계획을 세웠습니다.

• 왼쪽 위 → 치조정 접근 상악동 거상술 후 임플란트 3개 식립

• 오른쪽 위 → 치주염 치아 발치 후 즉시 임플란트 식립

• 아래 양쪽 → 임플란트 주위염 재수술 (기존 임플란트 제거 후 재식립)

모든 과정은 환자분이 원하시는 대로 수면마취(의식하 진정) 하에 진행하기로 하였고, 좌우를 나눠 두 차례에 걸쳐 시술하였습니다.

4. 수면임플란트 진행 과정

■ 1차 수술 (오른쪽)

미다졸람을 투여 후 편안하게 수면에 드신 상태에서 오른쪽 임플란트 수술을 먼저 진행하였습니다.

아래 임플란트 제거한 사진

임플란트를 치조정 접근 상악동 거상술을 통해 3개의 임플란트가 식립된 사진

하악의 임플란트 주위염 부위는 기존 임플란트를 제거하고 재식립하였으며, 상악의 경우 치조정 접근 상악동 거상술을 통해 3개의 임플란트를 안정적으로 식립하였습니다.

■ 2차 수술 (왼쪽)

환자분이 충분히 회복하신 이후 반대쪽도 동일하게 수면치료로 진행하였습니다.

노란색 표시처럼 임플란트 식립 잘 마쳤습니다.

두 번째 수술에서도 임플란트가 CT 상에서 확인될 만큼 정확하고 안정적으로 식립되었습니다.

■ 보철 마무리

양쪽 임플란트 식립이 완료된 후 보철 준비를 거쳐 최종 보철까지 마무리하였습니다.

5. 자주 묻는 질문 (Q&A)

동대문 청량리 더굿모닝치과를 찾아오시는 분들께서 가장 많이 물어보시는 질문들을 정리했습니다.

Q. 수면임플란트와 일반 임플란트는 어떻게 다른가요?

A. 수면임플란트는 미다졸람 등의 진정제를 투여하여 환자분이 수면에 가까운 편안한 상태에서 임플란트 수술을 받을 수 있도록 하는 방법입니다. 수술 자체는 일반 임플란트와 동일하게 진행되며, 치과 공포증이 있거나 통증과 긴장에 예민하신 분, 시술 시간이 길어 장시간 입을 벌리기 어려우신 분께 적합합니다.

Q. 수면임플란트 중에 깨어나거나 통증을 느끼지는 않나요?

A. 미다졸람은 의식하 진정(Conscious Sedation)에 사용되는 약물로, 완전한 전신마취와는 다릅니다. 수면에 가까운 상태가 유지되어 시술 중 통증이나 불안감은 거의 느끼지 않으시며, 시술 후에는 해당 시간대의 기억이 남지 않아 치료에 대한 두려움이 크게 줄어듭니다.

Q. 임플란트 재수술이 필요한 경우는 어떤 경우인가요?

A. 임플란트 주위염이 발생했거나, 뼈와의 결합(골유착)이 실패한 경우, 또는 임플란트 주변 뼈 소실이 심각하게 진행된 경우 재수술이 필요할 수 있습니다. 재수술은 기존 임플란트를 제거 후 뼈 상태를 평가하고, 필요 시 골이식을 동반하여 재식립합니다.

Q. 상악동 골이식(상악동 거상술)은 어떤 수술인가요?

A. 위 어금니 부위에 임플란트를 심을 때 뼈의 양이 부족한 경우, 상악동(코 옆 공간)의 바닥을 들어올려 뼈를 보충하는 수술입니다. 치조정 접근법은 임플란트 식립과 동시에 진행할 수 있어 치료 횟수를 줄일 수 있는 방식입니다.

Q. 임플란트 여러 개를 한 번에 심을 수 있나요?

A. 가능합니다. 수면임플란트로 진행할 경우 환자분이 편안한 상태이기 때문에 여러 부위를 동시에 진행하거나, 본 증례처럼 환자분의 상황에 맞게 좌우를 나눠 진행하는 방식도 선택하실 수 있습니다.

Q. 치과 공포증이 심한데 수면임플란트를 받아도 될까요?

A. 오히려 치과 공포증이 심하신 분들께 수면임플란트가 가장 적합합니다. 긴장과 불안 없이 편안하게 치료받으실 수 있으며, 치료 후 기억이 거의 남지 않아 다음 치료에 대한 두려움도 줄어드는 경우가 많습니다. 치과 방문이 오래 미뤄져 구강 상태가 좋지 않은 분들께도 적극 권장드립니다.

마치며 — 동대문 수면치과 청량리 수면치과

오늘 소개해 드린 증례는 임플란트 재수술 + 치조정 접근 상악동 거상술 + 어금니 전체 임플란트를 수면마취를 통해 편안하게 해결해 드린 케이스입니다.

치과가 두렵고 불안하셨던 분도, 임플란트에 문제가 생겨 재수술을 고민 중이신 분도, 뼈가 부족하다는 이야기를 들으신 분도 — 수면임플란트로 진행하면 더욱 편안하고 안전하게 치료받으실 수 있습니다.

동대문구, 청량리, 제기동, 용두동, 신설동 인근에서 수면임플란트 및 임플란트 재수술을 고민하고 계신다면 더굿모닝치과로 문의 주세요.

📍 서울특별시 동대문구 왕산로 123 2층  더굿모닝치과의원 청량리

#동대문수면치과 #청량리수면치과 #수면임플란트 #임플란트재수술 #상악동골이식 #치조정접근상악동거상술 #동대문임플란트 #어금니임플란트 #치과공포증

Share article

더굿모닝치과 청량리점 대표원장 칼럼