수면 전체 임플란트, 보험 적용으로 비용 부담 줄이는 방법 국민건강보험 + 사보험 중복 활용 실제 케이스 공개

수면 전체 임플란트, 보험 적용으로 비용 부담 줄이는 방법 국민건강보험 + 사보험 중복 활용 실제 케이스 공개
수면 전체 임플란트, 
보험 적용으로 비용 부담 줄이는 방법

국민건강보험 + 사보험 중복 활용 실제 케이스 공개

수면 전체 임플란트,
보험 적용으로 비용 부담 줄이는 방법

국민건강보험 + 사보험 중복 활용 실제 케이스 공개

동대문구 청량리 더굿모닝치과  |  치주과·통합치의학과 전문의

치아를 많이 잃으셨나요? 수면 전체 임플란트가 필요한 이유

치아를 여러 개 잃게 되면 단순히 심미적인 문제를 넘어, 씹는 기능·발음·안면 구조 전체에 영향을 미칩니다. 이런 경우 수면 전체 임플란트(전악 임플란트)를 통해 자연치아에 가까운 기능을 되찾을 수 있습니다.

하지만 많은 분들이 비용 때문에 치료를 미루거나 포기하시는 경우가 많습니다. 동대문구 청량리 더굿모닝치과에서는 환자분의 경제적 부담을 줄이기 위해 국민건강보험과 사보험을 적극 활용한 치료 계획을 함께 세워드립니다.

수면 전체 임플란트에 적용 가능한 보험 종류

1. 국민건강보험 임플란트 혜택

국민건강보험공단에서 운영하는 의무 가입 보험으로, 다음 조건을 충족하면 임플란트 비용의 일부를 공단에서 부담합니다.

•     만 65세 이상 (2024년 기준)

•     무치악(치아가 전혀 없는 상태)이 아닐 것 — 잔존치가 1개 이상 있어야 함

•     평생 2개 한도 지원 (본인부담금 30%)

2. 사보험(민간 의료보험) 임플란트 혜택

개인이 선택적으로 가입하는 민간 보험으로, 보장 범위에 임플란트가 포함된 경우 비급여 진료에도 혜택을 받을 수 있습니다. 보험사 및 상품에 따라 연간 지원 개수, 지원 금액이 달라지므로 반드시 사전에 확인이 필요합니다.

실제 케이스 공개 — 70대 환자, 11개 임플란트 중 8개 보험 적용

아래는 동대문구 청량리 더굿모닝치과에서 실제로 진행한 수면 전체 임플란트 케이스입니다. 치료 과정을 단계별로 공개합니다.

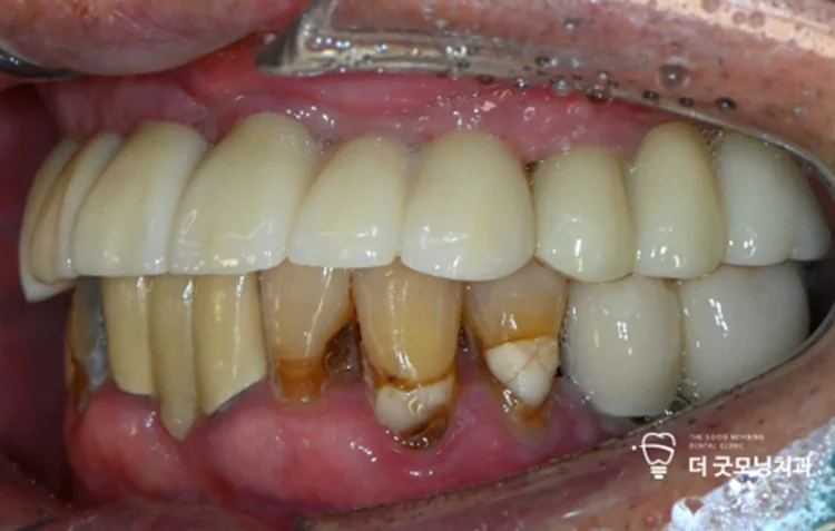
Step 1. 초진 상태 확인

초진 시 여러 치아가 이미 상실된 상태였으며, 하악에 남아있던 어금니 2개는 심한 충치로 보존이 불가능한 상태였습니다. 우측 상악에는 브릿지가 씌워져 있었으나 지대치의 이차 우식 및 파절이 진행되어 잔존치 발치가 필요한 상황이었습니다.

Step 2. 하악 치료 — 국민건강보험 임플란트 적용

해당 환자는 70대였으며, 잔존치가 있었기 때문에 국민건강보험 임플란트 혜택을 받을 수 있었습니다. 충치로 보존이 어렵던 하악 어금니 2개를 발치한 후, 건강보험 임플란트 2개와 비급여 임플란트 1개를 식립하여 하악 치료를 완료했습니다.

Step 3. 상악 치료 — 사보험 활용

하악 치료 완료 후, 상악은 기존에 사용하던 부분틀니를 활용하는 방법도 있었지만, 환자분이 전체 임플란트로 변경을 희망하셨습니다. 확인 결과 사보험에 연간 임플란트 3개 보장이 포함되어 있었습니다.

총 8개의 픽스처를 식립해야 하는 상황이었기 때문에, 양측을 한 번에 진행하면 보험 혜택이 제한됩니다. 이에 좌우를 나눠 치료 기간을 분산함으로써 보험 수혜 개수를 최대화했습니다.

Step 4. 수면마취(의식하 진정) 하 좌측 수술

수술 전 맥박·호흡 등 생체징후 모니터링 장비를 세팅하고, 정맥 라인을 통해 약제를 천천히 투여하여 의식하 진정 상태에서 수술을 진행했습니다. 좌측 수술 시 상악동과의 거리가 가까워 상악동 거상술을 함께 시행하였으며, 4개 식립 중 3개를 사보험으로 처리했습니다.

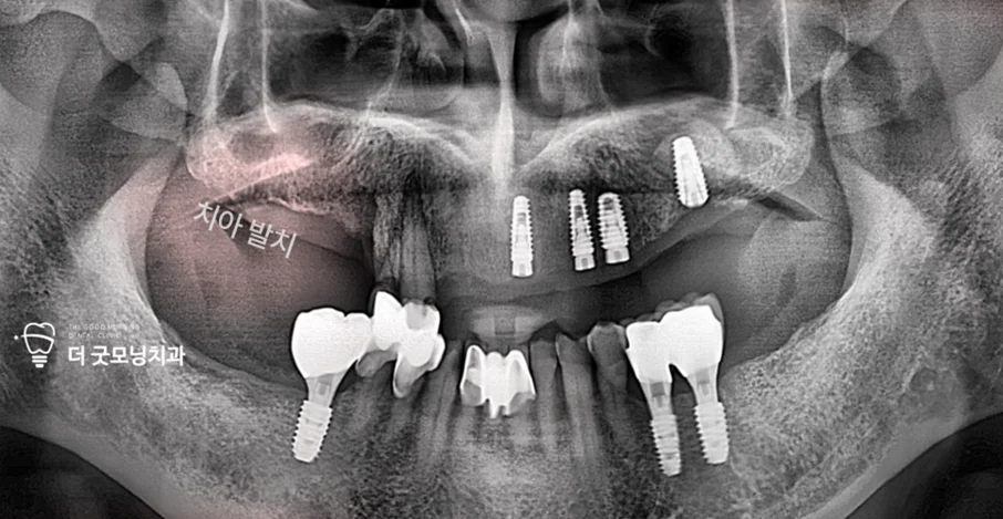
Step 5. 우측 발치 및 2차 수술

브릿지 지대치로 사용하던 우측 사랑니와 소구치에 통증이 발생하여 먼저 발치를 진행했습니다. 치유 기간 이후 힐링 어버트먼트를 체결하는 2차 수술을 완료했습니다.

Step 6. 추가 임플란트 식립 — 보험 적용 기간 분리 전략

1년이 경과하여 새로운 보험 적용 기간이 시작되었습니다. 좌측 임플란트의 유착을 확인한 후 로딩 작업을 완료하고, 우측에 4개의 임플란트를 추가 식립했습니다. 이번 수술도 수면마취(의식하 진정) 하에 진행되었습니다.

Step 7. 최종 보철 완성

임시 치아를 사용하며 약 3개월간 회복 단계를 거친 후, 충분한 고정력을 확인하고 최종 보철물을 장착하여 수면 전체 임플란트를 완성했습니다.

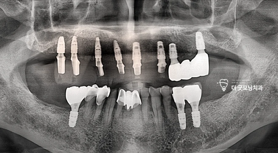
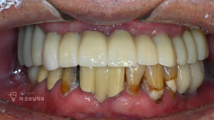
최종 결과 — 치료 전후 비교

보험 적용 결과 요약

구분

보험 종류

적용 개수

하악

국민건강보험

2개

상악

사보험

6개

합계

국민건강보험 + 사보험

8개 (총 11개 중)

치료 기간을 전략적으로 나누고 보험을 적극 활용함으로써, 총 11개 중 8개의 임플란트를 보험으로 처리하여 경제적 부담을 크게 줄일 수 있었습니다.

동대문구 청량리 더굿모닝치과의 수면 전체 임플란트 접근 방식

수면 전체 임플란트는 단순히 식립 기술만이 아니라, 환자의 보험 조건·전신 건강 상태·치료 기간을 종합적으로 고려한 맞춤 치료 계획이 필요합니다. 동대문구 청량리 더굿모닝치과에서는 치주과·통합치의학과 전문의가 직접 진료하며, 비용 절감 전략까지 함께 상담해 드립니다.

•     의식하 진정(수면마취)으로 두려움 없는 치료

•     국민건강보험 + 사보험 중복 활용 치료 계획

•     상악동 거상술 등 복잡 케이스 전문 대응

•     치료 기간 분산을 통한 보험 수혜 최대화 전략

자주 묻는 질문 (FAQ)

Q. 수면 전체 임플란트에 건강보험이 적용되나요?

A. 만 65세 이상이며 구강 내 잔존치가 1개 이상 있고 건강보험 가입자라면, 평생 2개까지 국민건강보험 임플란트 혜택을 받을 수 있습니다. 전체 임플란트가 필요한 경우에도 조건을 충족하면 적용 가능합니다.

Q. 사보험으로 임플란트 비용을 보장받을 수 있나요?

A. 보험 상품에 따라 연간 일정 개수의 임플란트를 보장하는 경우가 있습니다. 반드시 내원 전 본인의 사보험 보장 범위(임플란트 포함 여부, 연간 한도)를 확인하시고 오시길 권장드립니다.

Q. 국민건강보험과 사보험을 동시에 활용할 수 있나요?

A. 네, 가능합니다. 본 케이스처럼 국민건강보험 임플란트 2개와 사보험 적용 임플란트를 함께 활용하면 비용 부담을 크게 줄일 수 있습니다. 단, 각 보험의 조건과 보장 개수를 사전에 확인해야 합니다.

Q. 수면 전체 임플란트 시 상악동 거상술이 필요한 경우는 언제인가요?

A. 상악(위턱) 구치부(어금니 부위)는 상악동이라는 공간과 인접해 있어 잇몸뼈 높이가 부족한 경우가 많습니다. 이 때는 상악동 거상술을 통해 뼈를 보강한 후 임플란트를 안전하게 식립합니다. 정밀 검사 후 필요 여부를 판단합니다.

Q. 수면마취(의식하 진정)는 안전한가요?

A. 의식하 진정은 전신마취와 달리 의식이 완전히 소실되지 않고 수면에 가까운 편안한 상태에서 시술을 받는 방법입니다. 시술 전후로 생체징후(맥박, 호흡, 혈중 산소포화도 등)를 지속적으로 모니터링하며 안전하게 관리합니다.

Q. 치료 기간이 길어지면 불편하지 않나요?

A. 치료 기간을 나누는 것은 보험 수혜를 극대화하기 위한 전략입니다. 치료 기간 동안에는 임시 치아를 제공하여 일상생활에 불편함이 없도록 하고 있습니다. 최종 보철 완성까지 꼼꼼하게 관리해드립니다.

Q. 전체 임플란트와 틀니 중 어떤 것이 좋은가요?

A. 틀니는 가철식(탈부착 가능)이라 관리가 필요하고 씹는 힘이 임플란트보다 약합니다. 전체 임플란트는 자연치아에 가까운 저작력과 심미성을 제공하며, 장기적으로 구강 건강 유지에 더 유리합니다. 전신 건강 상태와 잇몸뼈 조건에 따라 적합한 방법을 상담해드립니다.

Q. 동대문구 청량리에서 수면 전체 임플란트를 잘하는 병원을 찾고 있는데, 어떤 기준으로 선택해야 하나요?

A. 임플란트 전문의(치주과 또는 구강악안면외과)가 직접 진료하는지, 보험 적용을 적극 안내하는지, 복잡 케이스(상악동 거상술, 뼈이식 등) 경험이 풍부한지 확인하시는 것이 좋습니다. 동대문구 청량리 더굿모닝치과는 치주과·통합치의학과 더블 보드 전문의가 직접 진료하며 비용 최적화까지 함께 상담해드립니다.

* 본 사례는 해당 의료기관에서 실제 진료를 받은 환자이며, 전후 사진은 동일인으로 촬영 시기 2024.09.05 ~ 2026.01.10, 별도 조작 없는 동일 조건 촬영 사진입니다.

* 추후 관리가 소홀하면 염증이 발생할 수 있으며, 나사 풀림·보철 파절 등으로 유지보수가 필요할 수 있습니다. 개인에 따라 치료 방법 및 부작용이 달리 나타날 수 있습니다.

* 본 포스팅은 객관적인 정보 제공을 목적으로 작성되었습니다.

Share article

더굿모닝치과 청량리점 대표원장 칼럼