임플란트 흔들림·주위염, 재수술로 해결할 수 있습니다 제거 후 즉시 재식립·뼈이식까지, 동대문구 청량리 더굿모닝치과 실제 치료 사례

임플란트 흔들림·주위염, 재수술로 해결할 수 있습니다 제거 후 즉시 재식립·뼈이식까지, 동대문구 청량리 더굿모닝치과 실제 치료 사례
임플란트 흔들림·주위염, 
재수술로 해결할 수 있습니다

제거 후 즉시 재식립·뼈이식까지, 동대문구 청량리 더굿모닝치과 실제 치료 사례

임플란트 흔들림·주위염,
재수술로 해결할 수 있습니다

제거 후 즉시 재식립·뼈이식까지, 동대문구 청량리 더굿모닝치과 실제 치료 사례

임플란트가 흔들린다면? 임플란트 주위염을 의심하세요

임플란트를 식립한 후에도 관리가 소홀하거나 특정 조건이 겹치면 픽스처(고정체) 주변에 염증이 발생할 수 있습니다. 흔들림, 통증, 잇몸 붓기 등의 증상이 나타난다면 임플란트 주위염(peri-implantitis)을 의심해야 합니다.

이번 포스팅에서는 동대문구 청량리에 위치한 더굿모닝치과에 70대 남성 환자분이 임플란트 주위염으로 내원하신 실제 사례를 통해, 재수술(재식립)과 뼈이식이 어떻게 이루어지는지 상세히 안내해 드리겠습니다.

1. 임플란트 주위염(peri-implantitis)이란?

임플란트 주위염은 자연치의 치주염과 유사하게, 세균성 감염에 의해 임플란트 주변 조직에 염증이 생기는 질환입니다. 크게 두 단계로 나뉩니다.

•     Peri-implant mucositis: 염증이 잇몸(연조직)에만 국한된 초기 단계. 비수술적 치료로 회복 가능

•     Peri-implantitis: 염증이 치조골까지 퍼진 단계. 골흡수가 진행되어 픽스처 제거·재수술이 필요할 수 있음

치조골이 흡수될수록 임플란트 고정력이 약해져 흔들림과 불편감이 심해지며, 방치하면 인접 치아에도 영향을 줄 수 있습니다.

2. 실제 사례: 임플란트가 흔들려 내원한 70대 남성

환자분께서는 "오른쪽보다 왼쪽을 더 많이 사용했는데, 얼마 전부터 왼쪽 임플란트가 심하게 흔들려 불편하다"고 호소하며 내원하셨습니다.

왼쪽 아래 어금니(37번) 부위에 식립된 픽스처에서 심한 흔들림이 나타나고 있었으며, 즉각적인 정밀 검진이 필요한 상황이었습니다.

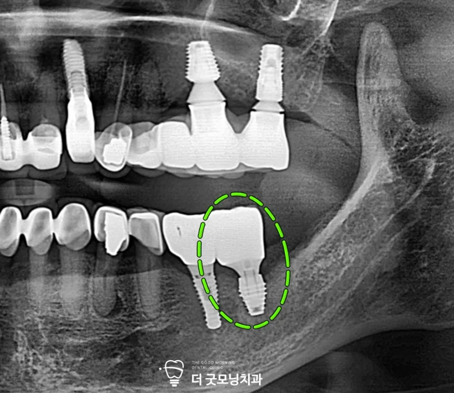
3. 정밀 검진: 엑스레이로 확인한 문제

▲ 내원 당시 파노라마 엑스레이 – 37번 픽스처 주위 치조골 흡수 확인

파노라마 엑스레이 촬영 결과, 왼쪽 아래 37번 픽스처 주위의 치조골 라인이 상당히 내려온 것을 확인할 수 있었습니다. 염증이 많이 진행된 상태로, 제거 후 재식립이 필요하다고 판단되었습니다.

또한 양측 하악 2곳의 자연치 치근단에도 염증이 이환되어 있어 추가 치료 계획도 함께 수립하였습니다.

4. 치료 계획 수립

정밀 검진 결과를 바탕으로 다음과 같은 치료 계획을 세웠습니다.

•     37번 임플란트: 주위염으로 진행된 픽스처 제거 후 당일 즉시 재식립 + 뼈이식

•     오른쪽 하악 어금니: 기존 신경치료 후 병소 이환 → 발치 후 임플란트 식립

•     왼쪽 송곳니: 보철 내부 충치 진행 → 발치 후 임플란트 식립

환자분께서는 우선 가장 불편감이 심한 37번 부위와 오른쪽 하악 어금니 부위부터 치료를 시작하시기를 원하셨습니다.

5. 3D-CT를 활용한 정밀 식립 계획

▲ 3D-CT로 확인한 하치조 신경관 위치와 골흡수 범위

3D-CT 분석 결과, 기존 픽스처 하방으로 하치조 신경관이 지나가고 있으며, 주위염으로 인해 픽스처 끝단까지 골흡수가 진행되어 있었습니다.

병소 범위가 넓어 치조골의 양과 질이 부족하였기 때문에, 뼈이식을 동반한 임플란트 재식립을 계획하였습니다. 3D-CT는 신경관 위치, 잔존 골량, 식립 각도 등을 입체적으로 파악할 수 있어 보다 안전한 수술 계획 수립에 도움이 됩니다.

6. 시술 과정: 제거 → 뼈이식 → 즉시 재식립

구강 내 마취를 꼼꼼히 진행한 뒤 염증이 진행된 픽스처를 제거하였습니다. 이후 치조골 내의 염증 조직을 철저히 정리하고, 골이식재를 통해 부족한 뼈를 보충하였습니다. 주위 임플란트 및 자연치의 위치, 교합력을 종합적으로 고려하여 당일 새 픽스처를 식립하였습니다.

▲ 뼈이식 및 즉시 재식립 직후 구강 내 모습

▲ 재식립 직후 엑스레이 – 하치조 신경관에 영향 없이 이식재 충진 확인

식립 후 촬영한 엑스레이에서 하치조 신경관에 영향을 주지 않고 픽스처 주위에 뼛조각이 잘 이식된 것을 확인하였습니다.

7. 경과 및 최종 결과

▲ 2개월 경과 후 구강 내 모습

▲ 2개월 후 엑스레이 – 골화 및 픽스처 유착 확인

2개월 후 추적 관찰에서 이식한 골이식재가 잘 골화(骨化)되어 픽스처가 튼튼하게 유착된 것을 확인하였습니다. 고정력이 충분히 확보되어 저작력을 감당할 수 있는 상태가 되었습니다.

이에 따라 주위 보철과 색조를 맞추고, 개인 구강 구조에 알맞은 형태와 교합으로 최종 보철(크라운)을 제작·장착하였습니다.

▲ 최종 보철 완성 – 주위 치아와 자연스러운 조화

"엄청 흔들려서 너무 불안했었는데, 이제는 안 불안하다"며 환자분께서 결과에 매우 만족스러워하셨습니다.

8. 임플란트 재수술 핵심 정리

•     임플란트 주위염은 조기에 발견할수록 비수술적 치료만으로 해결 가능

•     골흡수가 심한 경우 픽스처 제거 후 뼈이식을 동반한 재식립이 필요

•     3D-CT 정밀 분석으로 신경관·골량 파악 후 안전한 식립 계획 수립

•     상태에 따라 제거 당일 즉시 재식립도 가능

•     뼈이식 후 충분한 유착 기간을 거쳐 최종 보철 완성

•     임플란트 수명을 연장하려면 올바른 구강 위생과 정기 검진이 필수

자주 묻는 질문 (FAQ)

Q. 임플란트 주위염이 생기면 꼭 재수술을 해야 하나요?

A. 임플란트 주위염은 초기(점막염)에는 비수술적 치료로 관리가 가능하지만, 치조골까지 염증이 진행된 경우(peri-implantitis)에는 픽스처를 제거하고 재식립이 필요할 수 있습니다. 정기 검진을 통해 조기에 발견하는 것이 중요합니다.

Q. 임플란트 재수술 후 즉시 새 픽스처를 심을 수 있나요?

A. 염증 범위와 잔존 치조골 상태에 따라 결정됩니다. 뼈이식을 동반하더라도 당일 즉시 재식립이 가능한 경우가 있습니다. 3D-CT를 통해 골량·골질을 정밀하게 평가한 뒤 계획을 수립하는 것이 중요합니다.

Q. 임플란트 재수술 시 뼈이식이 반드시 필요한가요?

A. 임플란트 주위염이 진행될수록 주변 치조골이 흡수됩니다. 재식립 공간에 골량이 부족하다면 뼈이식을 함께 시행해 픽스처가 안정적으로 유착될 수 있도록 해야 합니다. 3D-CT를 통해 뼈이식 여부와 이식량을 결정합니다.

Q. 임플란트가 흔들리면 바로 치과에 가야 하나요?

A. 네, 임플란트가 흔들린다면 가능한 한 빨리 치과를 방문해야 합니다. 방치할수록 치조골 흡수가 심해지고, 인접 자연치나 임플란트에까지 영향을 줄 수 있습니다.

Q. 재식립 후 보철 완성까지 얼마나 걸리나요?

A. 뼈이식을 동반한 경우 픽스처와 이식재가 완전히 유착·골화되는 데 보통 수개월이 소요됩니다. 이후 고정력을 확인하고 보철(크라운)을 제작하는 과정이 진행됩니다. 개인의 회복 속도와 골 상태에 따라 기간은 달라질 수 있습니다.

Q. 임플란트 주위염을 예방하는 방법이 있나요?

A. 올바른 칫솔질과 치실·치간칫솔 사용으로 임플란트 주변을 청결하게 유지하는 것이 핵심입니다. 또한 정기적인 치과 검진(6개월~1년)을 통해 조기에 점검받는 것이 임플란트를 오래 유지하는 가장 좋은 방법입니다.

Q. 임플란트 주위염은 왜 생기나요?

A. 구강 위생 관리 소홀로 픽스처 주변에 세균성 플라크가 쌓이는 것이 주요 원인입니다. 흡연, 당뇨, 골다공증 등 전신 질환도 위험 요소이며, 과도한 교합력이나 부적절한 보철 설계도 원인이 될 수 있습니다.

임플란트 주위염·재수술을 고민하고 계신다면
동대문구 청량리 더굿모닝치과에서

정밀 검진 후 개인 맞춤 치료 계획을 안내해 드립니다.

Share article

더굿모닝치과 청량리점 대표원장 칼럼